Suivi des vessies neurologiques
Ce suivi peut être réalisé par un médecin de médecine physique et de réadaptation (MPR) ou un chirurgien urologue, spécialisé dans la prise en charge des vessies neurologiques. Dans l’idéal, il est intégré dans une prise en charge globale de pelvi périnéologie, associant le suivi des troubles du transit et génito-sexuels.
Risques et complications des vessies neurologiques
Les vessies neurologiques, selon la partie du système nerveux atteint*, sont à risque de complications rénales et/ou vésicales.
Ces risques doivent être évalués de manière précise par l’association d’un interrogatoire spécialisé lors d’une consultation dédiée, avec un catalogue mictionnel (quantification du nombre de mictions/volumes urinés/fuites urinaires), d’explorations urodynamiques, radiologiques, biologiques, et d’une endoscopie de la vessie et de l’urètre, au moins à minima.
Les principales complications à rechercher restent les infections urinaires symptomatiques (à bien différencier de la colonisation bactérienne chronique des patients avec vessie neurologique sous sondages intermittents), les calculs le long de l’arbre urinaire ou intra vésicales, les anomalies du haut appareil urinaire (rein) ou de la vessie (déformation de la paroi vésicale par exemple), et les anomalies de la fonction rénale (par analyse de la créatinine sanguine ou urinaire).
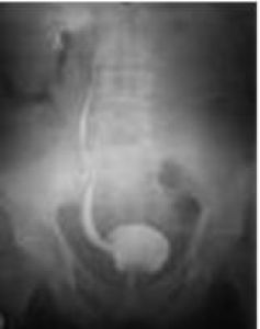
Exemple d’une vessie dite diverticulaire ou d’un reflux vésico urétéral passif, lors d’une cystographie rétrograde et mictionnelle
En cas d’anomalies rénales suspectées, une consultation spécialisée auprès d’un néphrologue peut être conseillée, avec des explorations scintigraphiques pour évaluer de manière précise la fonction des reins.
Toutes les vessies dites neurologiques ne donnent pas de complications graves de la vessie ou des reins, mais il est important de le rechercher. Votre médecin spécialisé pourra en discuter avec vous.
Suivi des vessies neurologiques
Une prise en charge thérapeutique adaptée à la vessie neurologique diagnostiquée doit être mise en place, en fonction de l’atteinte et des évaluations sus citées.
Le suivi est alors nécessaire, à la fois à court terme pour évaluer l’efficacité et la tolérance des traitements prescrits, mais également à moyen et long terme.
Ce suivi doit être régulier, souvent bi-annuel pendant les premières années puis annuel ou tous les 2 ans en fonction de l’évolution des troubles et des traitements mis en œuvre.
Il associe souvent les mêmes explorations complémentaires que lors de l’évaluation initiale.
Il est recommandé même en l’absence de gêne fonctionnelle urinaire clinique, car dans certains cas, cette absence de gêne ne signifie pas absence de risques.
N’hésitez pas à en parler autour de vous, pour connaitre les noms des centres référents pour cette prise en charge spécifique.
EN SYNTHESE
Il est important de faire diagnostiquer une vessie neurologique, de rechercher les complications en rapport et d’avoir un suivi régulier pour éviter les anomalies rénales et vésicales qui pourraient en découler.
Votre médecin traitant peut parfois vous orienter vers un médecin MPR ou chirurgien urologue spécialisée dans ce type de pathologie.
(*vessie dite neurologique centrale ou périphérique)
